Dr.
Larisa Musić
PREDAVANJA I TEČAJEVI - PROLJEĆE 2024.
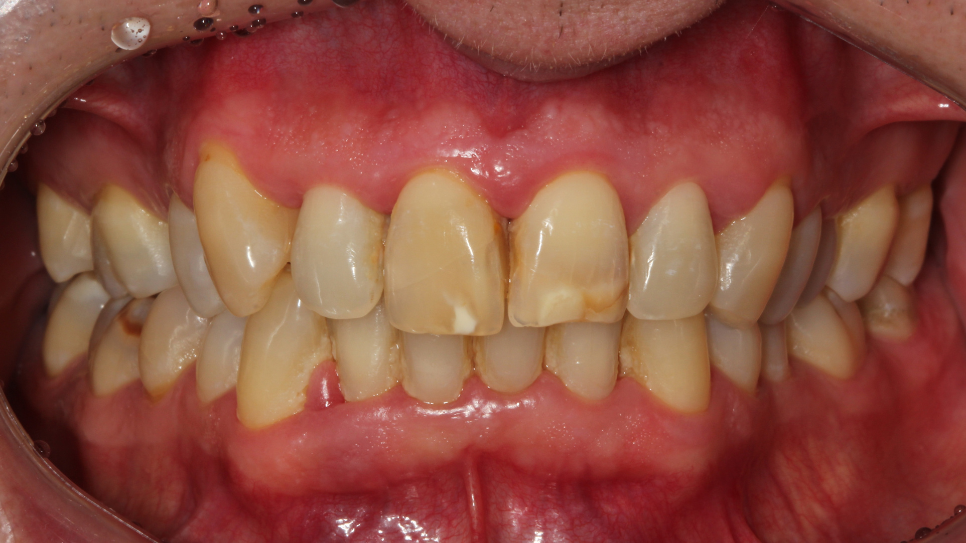
Parodontitis je 6. najčešća kronična bolest čovječanstva.
Zapitajte se: prepoznajete li parodontološke pacijente u svojoj ordinaciji i znate li suvereno voditi njihovu terapiju?
NASTAVI SCROLLATI ZA EDUKACIJE ⬇️


TKO SAM?
Prije svega edukator po pozivu, specijalistica parodontologije i doktorica znanosti.
Moto mojih edukacija je there is no gatekeeping here - svoje znanje ne skrivam, ne čuvam ga za sebe. Izrazito visoka prevalencija parodontitisa zahtijeva kvalitetne i educirane liječnike - moj doprinos je pružiti upravo to: kvalitetnu edukaciju.
ŠTO JE DRUGAČIJE?
Uz obilje edukativnog, foto i video materijala koji prate evidence-based teoriju, posebno sam ponosna na modele i vježbe za unaprijeđenje manualnih vještina koje sam sama razvila. Uz to, parodontologija je u potpunosti utemeljena na biološkim konceptima i logična - i tako je i prenosim.

Implementacija novih smjernica za liječenje parodontitisa u kliničkoj praksi
Smjernice za liječenje niza različitih bolesti odavno su prisutne u medicini. U svijetu parodontologije 2020. i 2022. godine dogodila se svojevrsna revolucija – po prvi su put u povijesti europske parodontologije publicirane smjernice za liječenje pacijenata s parodontitisom svih stadija bolesti. Upravo je implementacija ovih smjernica tema predavanja na kongresu u organizaciji HKDM-a.
💡Kongres Proljeće u Varaždinu
📍 Varaždin, Hotel Turist
📅 9.3.2024.
PRIJAVI SE!
Inicijalna - nekirurška parodontološka terapija
Teorijsko-praktični tečaj u sklopu trajnog obrazovanja pri Stomatološkom fakultetu u Zagrebu na temu inicijalne parodontološke terapije uz voditeljicu izv.prof.dr.sc. Anu Badovinac.
💡Tečaj trajnog obrazovanja
📍 Zagreb, SFZG
📅 15. i 16.3.2024.


Halitoza: profesionalni i društveni tabu
Jedinstveni tečaj o halitozi, po prvi put u ovom dijelu Europe!
Nauči od interdisciplinarnog tima kako dijagnosticirati i liječiti pacijente koji pate od jednog od najneugodnijih simptoma o kojima se generalno ne razgovara, ni u društvu, ni među medicinskim djelatnicima.
Razbijmo tabu!
💡Tečaj trajnog obrazovanja
📍 Zagreb, SFZG
📅 13.4.2024.
Temelji parodontologije: Dijagnostika i nekirurška terapija 2.0
Moj signature tečaj.
Prošireni teoretsko-radni tečaj (svibanj 2024.) koji uz nekiruršku terapiju oko zubi, sada obuhvaća i nekiruršku terapiju oko implantata, case study clinic, blok o parodontološkom liječenju kao segmentu cjelokupnog stomatološkog liječenja i cijelu jednu novu hands-on sesiju!
💡 EDUCEN tečaj
📍 Matulji (Opatija)
📅 17. i 18.5.2024.
